Mallocybe plebeia Bandini, B. Oertel & U. Eberh.; D - Nähe Heidelberg; Mai 2014; leg. Ditte Bandini
Mallocybe plebeia Bandini, B. Oertel & U. Eberh.; D - bei Heidelberg; Mai 2012; leg./det. Ditte Bandini

Kurzbeschreibung:

  • Hut bis 3 cm 
  • Hutfarbe stumpf ockerlich bis ockerbräunlich, manchmal mit Rotnuance
  • Hutoberfläche glatt bis filzig
  • Stiel mit dem Alter hohl werdend, Fleisch wässrig ockerlich
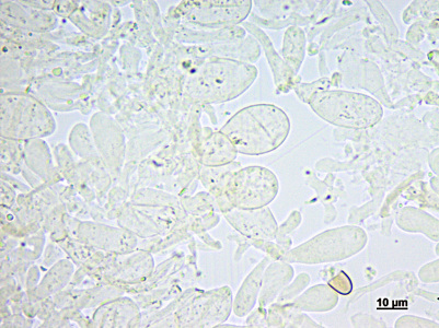
  • Sporen glatt, 7.2-10.2 x 5.1-6.5 µm, av. 9.2 x 5.8 µm
  • Cheilozystiden (sub)clavat bis ballonförmig, 17-35 x 7-20 µm, av. 25 x 11 µm, oft kettig.
  • Standort: auf kalkhaltigem Boden oft bei Salix

 

Short description:

  • Pileus up to 3 cm
  • Pileus colour dull ochraceous to ochraceous brownish, sometimes with reddish nuance
  • Pileus surface smooth to felty
  • Stipe with age hollow, context watery ochraceous
  • Spores smooth, 7.2-10.2 x 5.1-6.5 µm, av. 9.2 x 5.8 µm
  • Cheilocystidia (sub)clavate to balloon-shaped, 17-35 x 7-20, av. 25 x 11 µm, often catenate
  • Growth on calcareous soil often with Salix

 

ATTENTION:

 

Mallocybe plebeia was synonymized in a recent article by Matheny et al. (2023) in the genetic tree with Mallocybe latispora (Bon) Matheny & Esteve-Rav. No explanation nor reason is given for this, the name does not appear in the text, and the article in which M. plebeia was described by us (Bandini et al. 2022) is not cited.


According to Matheny (pers. email), this synonymization goes back to the naming of sequences as Inocybe dulcamara var. latispora by Ellen Larsson (e.g. FN550938) from 2009 in GenBank. However, the holotype of Mallocybe latispora was neither examined by Ellen Larsson nor by Jukka Vauras (pers. emails), whose collections in Matheny et al. 2023 were also designated in GenBank and in the article of Matheny et al. 2023 as M. latispora. The designation of the corresponding sequences is therefore based purely on guesswork.

 

However, I have examined the holotype of Mallocybe latispora myself and can therefore confirm what is already stated in the protologue (Bon 1979): The spores of M. latispora are significantly wider and also longer than those of M. plebeia. In addition, the pileus of M. latispora is often orange-fawn, and the species was found in a very specific habitat, a schist dump, which does not fit M. plebeia.
The synonymization is therefore incorrect, and Mallocybe plebeia is still a valid species.

 

***

 

Mallocybe plebeia wurde in einem neuen Artikel von Matheny et al. (2023) im genetischen Baum mit Mallocybe latispora (Bon) Matheny & Esteve-Rav. synonymisiert, ohne dass  hierfür eine Erklärung oder Begründung gegeben wird. Im Text kommt der Name überhaupt nicht vor, und nicht einmal der Artikel, in dem M. plebeia von uns beschrieben wurde (Bandini et al. 2022), ist zitiert. 


Diese Synonymisierung geht, so Matheny (pers. email), zurück auf die Benennung von Sequenzen als Inocybe dulcamara var. latispora von Ellen Larsson (z.b. FN550938) aus dem Jahr 2009 in GenBank. Jedoch wurde der Holotyp von Mallocybe latispora, wie entsprechende Nachfragen bei J.V.. und E.L. ergaben, weder von Ellen Larsson noch von Jukka Vauras - von dem die Kollektionen neu sequenzierter,  in Matheny et al. 2023 und in GenBank als M. latispora bezeichneter Sequenzen stammen - untersucht. Die Bezeichnung der entsprechenden Sequenzen beruht also auf reiner Vermutung.

Ich selbst aber habe den Holotyp von Mallocybe latispora selbst untersucht, und kann daher bestätigen, was bereits im Protolog (Bon 1979) steht: Die Sporen von M. latispora sind deutlich breiter und im übrigen auch länger als diejenigen von M. plebeia.  Zudem ist der Hut von M. latispora oft orange-rehbraun, und die Art wurde in einem sehr speziellen Habitat, Abraumhalden von Schiefergestein, gefunden, was alles auf M. plebeia nicht passt. 
Die Synonymisierung ist mithin falsch, und Mallocybe plebeia ist weiterhin eine gültige Art.

 

***

Sporen
Cheilozystiden